• drprateekchaudhary@gmail.com

  • +91 8414921702
  • Everyday: 11:30am to 12:30pm

ANGIOGRAPHY

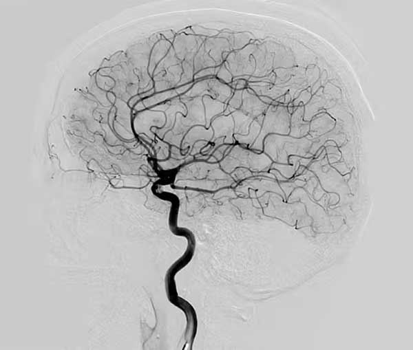
Angiography also referred to as arteriography or coronary angiogram is a medical imaging technique, a kind of X-ray used to check blood vessels, arteries, veins and heart chambers.

In angiography a special dye is needed and is injected into your blood first. This dye highlights your blood vessels, and other details allowing the doctor to see any problems. The X-ray images created during angiography are called angiograms. An angiogram can show if your coronary arteries are narrowed, where they are narrowed, and by how much. If necessary, your doctor can open blocked or narrowed heart arteries through angioplasty procedure during your coronary angiogram.

Coronary angiograms are part of a general group of procedures known as heart (cardiac) catheterizations that help to diagnose heart conditions. It is the most common type of cardiac catheterization procedure.

Why it’s done?

Doctor may recommend you to go for a coronary angiogram, angiography if you have the following symptoms of coronary artery disease:

  • Chest pain (angina), pain in your chest, jaw, neck or arm that can’t be explained by other tests
  • Congenital heart disease, i.e. defect in heart since birth
  • Abnormal results of heart stress test
  • A heart valve problem that may require surgery
  • Heart’s blood vessel problem or a chest injury

Cardiac angiography is usually done only after non-invasive heart tests have been performed, such as an electrocardiogram, an echocardiogram or a stress test.